Category: Dental Health
Happy Children’s Dental Health Month! It’s a new year, and there is no better time than now to brush up on oral hygiene practices for you…
You want only the best for your child, which is why you prioritize their oral health. But, if your child begins developing dental issues, then…
One gift that’s in short supply during holiday vacations is relaxation. Instead, it’s go-go-go and ho-ho-ho! Travel. Shopping. Parties. More…
October is National Dental Hygiene Month! Let’s talk about the amazing world of dental hygiene and our awesome dental hygienists.
Dental…
The American Dental Association recognizes June as Oral Health Month. This is an opportunity for families to evaluate their oral health habits,…
Dental Assistants Recognition Week™ (also known as DARW) is held the first full week in March (this year, it’s March 6-12), and we want…
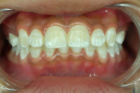
Everyone wants white teeth, but not so much when that color appears in spots or blotches. Technically known as white lesions, white spots can…
There’s nothing like an unexpected trip to the dentist to derail the most wonderful time of the year. To ensure your teeth stay healthy through…
If you’re dealing with tooth loss, you’re not alone. The American College of Prosthodontists estimates that 178 million Americans are affected…
There’s no shortage of teeth whitening solutions. From in-office lasers to at-home whitening kits and snap-on veneers, there have never been more…